こんにちは!
脊髄筋委縮症(SMA)の続きです。

I型 赤ちゃんで発症する重症型
II型 1歳前後で発症する中間型
III型 小児期全般で発症する軽症型
IV型 成人で発症
I型は前回書いたように赤ちゃんの時期に発症して呼吸障害が起こる命に係わる重症型です。
ウェルドニッヒ・ホフマン(Werdnig-Hoffmann)病ともいわれます。
II型は1歳半ごろまでに発症して独り歩きができないことが多いです。
デュボビッツ(Dubowitz)病ともいわれます。
III型は1歳半過ぎてから症状がではじめ、歩きだした後にこけやすい、その後に独り歩きできなくなる度の症状もでてきます。
クーゲルベルグ・ウェランダー(Kugelberg-Welander)病ともいわれます。
IV型は成人してから発症するタイプで比較的少なく、進行もゆっくりな筋力低下が起こります。
筋力低下は重症型では呼吸障害に関連します。

中間型、軽症型では呼吸障害は少ないですが、手足の筋力が低下します。
足ならこけやすいや歩けないなどの症状がでます。
手なら肩があがらない、肘が曲がらない、指がうまく曲がらなくて物がつかめないなどの症状がでます。

特に上肢では関節が硬くなることが多く、日常生活動作に支障がでます。
リハビリも重要で、下肢なら歩く練習、上肢なら関節を硬くならないようにしたり指をうまく使う練習を行います。
特に上肢のリハビリが重要で作業療法(OT)によるリハビリが大切です。

特に指の関節が硬くなることが物を持ったり、つかんだりできなくなるためリハビリによる予防が重要です。
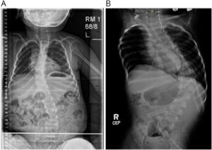
整形外科的にはリハビリ以外には側弯が見られることは多いです。

Clin Practice 2022より引用
背中の筋力が低下するため側弯が出現することが多いです。
筋ジストロフィーにでる側弯に似ています。
重症型や中間型のお子さんの多く見られ、あまり背骨の曲がり強いと座位に悪影響します。
側弯が高度の場合は装具を使うことがあります。
呼吸の問題や歩かないなどの運動レベルから側弯の手術が行われることは少ないです。
次に近年色々報道された治療薬について書きます。
